«Все на 4-х» имплантах в Перми
Ваша новая улыбка за 2 визита!

4 импланта Dentium + установка
от 97 800 ₽

Имплантация с хирургическим шаблоном. Точность 0,001 мм

Имплантологи со стажем более 13 лет

Экономия до -18% для пенсионеров
Что вас интересует в этой процедуре?
Кому подходит методика?
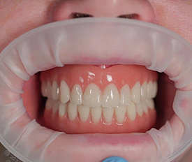
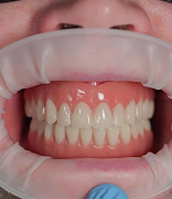
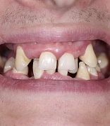
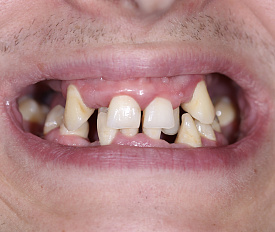
до
после
Цифровая диагностика и визуализация
Цифровая диагностика и визуализация
Полное обследование полости рта
Снятие оттиска
Определение прикуса
Визуализация цифровой модели челюсти
Что такое «Все на 4»?
Что такое «Все на 4»?
Технология «Все на 4» — это современный метод протезирования, при котором вся челюсть восстанавливается с опорой всего на 4 импланта
- Вместо 10–14 имплантов устанавливаются всего 4, что минимизирует болевые ощущения и стоимость лечения
- Уже через 1–3 дня на импланты фиксируется временный протез
Индивидуальный подход и планирование — основа безошибочной имплантации
65
параметров диагностики
Мы не устанавливаем импланты «на глаз»
Перед имплантацией «Все на 4» в клинике «Один к Одному» проводится расширенная 3D-диагностика по 65 параметрам
точность
0,05 мм
Хирургический шаблон исключает ошибки и позволяет ввести каждый имплант строго в заданную позицию, сохранив костную ткань и снизив травматичность процедуры. Это особенно важно при полной реконструкции зубов.
3D — моделирование будущей улыбки
3D — моделирование будущей улыбки
Создание виртуальной модели будущей улыбки с учетом показателей диагностики, которое позволяет пациенту увидеть и даже «примерить» новые зубы еще до начала лечения
Планирование положения имплантов
Планирование положения имплантов
Моделирование расположения имплантов для их оптимального положения относительно соседних зубов, нервов и мягких тканей
Создание хирургического шаблона и протокола имплантации
Создание хирургического шаблона и протокола имплантации
Планирование глубины, диаметра и оси введения импланта для гарантии высочайшей точности операции. Установка имплантов в единственно правильной позиции с помощью хирургического шаблона
Максим Островка
Основатель клиники
Имплантация без операции стала реальной с помощью хирургического шаблона. В этом случае хирургу не нужно разрезать десну – достаточно сделать прокол диаметром несколько миллиметров
Во время имплантации применяем
хирургический шаблон
Установка имплантов без шаблона
Увеличенное время операции и реабилитации
Нарушение целостности дна пазухи верхней челюсти
Риск отклонения оси импланта и точки введения
Установка имплантов с шаблоном
хирургический шаблон позволяет исключить ошибки и обеспечивает введение импланта с точностью до сотых долей миллиметра
Безопасное хир. вмешательство без разрезов и швов
Точность поставленных имплантов
точность 0,001 мм
Получите диагностику и лечение с выгодой

Осмотр и диагностика
У имплантолога-эксперта со стажем до 13 лет
-20%

КТ–снимок
Снимок КТ и заключение о состоянии костной ткани
2 000 ₽
0 ₽

Индивидуальный план лечения для Вашего случая
Врач расскажет о методике, ответит на все ваши вопросы и подберет план лечения!

Или задайте вопрос
по телефону:
по телефону:
+7 (342) 215 02 33
Каждый день на связи
В среднем выгоднее на 24%, чем в других клиниках
В среднем выгоднее на 24%, чем в других клиниках
Клиника «Один к Одному» в Перми — это разумный подход к лечению зубов без переплат. Мы предлагаем фиксированную стоимость лечения под ключ, без скрытых доплат и неожиданных расходов. Цена на имплантацию, протезирование или исправление прикуса обсуждается заранее и не меняется в процессе.
Благодаря комплексному подходу, современному оборудованию и слаженной работе команды врачей, мы сокращаем количество визитов и общую стоимость лечения на 24% по сравнению с другими стоматологиями Перми.
Вы получаете высокий уровень сервиса, качественные материалы от мировых производителей и честную цену, которая закрепляется в договоре.
Благодаря комплексному подходу, современному оборудованию и слаженной работе команды врачей, мы сокращаем количество визитов и общую стоимость лечения на 24% по сравнению с другими стоматологиями Перми.
Вы получаете высокий уровень сервиса, качественные материалы от мировых производителей и честную цену, которая закрепляется в договоре.
Как проходит имплантация зубов «Все на 4»
Первый визит
1. Консультация врача и диагностика
Сертифицированный врач выполняет первичный осмотр, делает снимок для точной диагностики и проводит персональную консультацию.2. Составление плана лечения и заключение договора
На основании диагностических данных врач составляет индивидуальный план восстановления зубного ряда. Мы заключаем юридический договор, в котором фиксируем стоимость лечения3. Назначение точной даты и времени операции
После диагностики и согласования всех условий доктор подбирает удобные для вас дату и время операции.
Второй визит
1. Установка 4-х имплантов
Операция проходит в стерильной операционной по международным стандартам. Такая имплантация требует минимального хирургического вмешательства и проходит максимально комфортно в течение одного-трёх часов.2. Установка несъёмного протеза
Протез устанавливается на имплантаты сразу в день операции. Уже на следующий день вы полноценно принимаете пищу без ограничений.
Точную стоимость лечения можно рассчитать только после консультации доктора
Стоимость рассчитывается индивидуально и зависит от клинической ситуации каждого пациента
После консультации согласованные этапы и стоимость лечения фиксируются в договоре и гарантированно не меняются! Никаких доплат и скрытых платежей!
Мы всегда стараемся найти баланс в соотношении цена — качество. Не стремимся быть дешевле всех, но стараемся разумно относиться к бюджету наших пациентов, при этом всегда ставим на первое место качество оказанных услуг и высокий уровень сервиса.
Консультация ни к чему вас не обязывает
и дает четкое представление о професcионализме врачей и клиники
Работы Работы специалистов

Пациент клиники
Лечащий врач
Сайдазимов Б.Ш.
до
после

Пациент клиники
Лечащий врач
Чистяков П.В.
до
после
Ваша улыбка в руках специалистов
с опытом до 22 лет
Лечение с выгодой до 21% благодаря
передовым стандартам клиники
И вот за счет чего мы этого добились:

-6%
выгода
Мы - представители ведущих производителей имплантов
и приобретаем импланты напрямую

-7%
выгода
Благодаря выстроенным внутренним протоколам мы проводим лечение быстрее, без лишних этапов и затрат

-4%
выгода
Свой диагностический центр
с современным оборудованием – точнейшие методы

-4%
выгода
У нас – свой склад всех необходимых материалов – Вам не придется ждать доставки, а нам за неё платить
Цены на тотальное протезирование в клинике Один к Одному
Стоматология Один к одному -
Цены на сайте такие же , как в клинике

Имплантация на 2-х
DENTIUM
2 импланта с установкой
39 800 ₽
Адаптационный протез
54 000 ₽
Гарантия на импланты
пожизненная
Возможность сразу принимать пищу
Второй этап
через 6-12 месяцев
через 6-12 месяцев
Постоянный балочный армированный протез
150 000 ₽

Имплантация на 4-х
DENTIUM
2 импланта Dentium Implantium
и 2 импланта Dentium Superline
97 800 ₽
Адаптационный протез
54 000 ₽
Гарантия на импланты
пожизненная
Возможность сразу принимать пищу
Второй этап
через 6-12 месяцев
через 6-12 месяцев
Постоянный балочный армированный протез
169 800 ₽

Имплантация на 6-х
DENTIUM
2 импланта Dentium Implantium
и 4 импланта Dentium Superline
155 800 ₽
Временный протез
54 000 ₽
Гарантия на импланты
пожизненная
Возможность сразу принимать пищу
Второй этап
через 6-12 месяцев
через 6-12 месяцев
Постоянный балочный армированный протез
175 000 ₽
Цены

Новейшее оборудование из Европы

Детальный осмотр стоматолога
Консультация стоматолога-терапевта
1 000 ₽
Консультация стоматолога-ортодонта
1 000 ₽
Консультация стоматолога-ортопеда
900 ₽
Консультация стоматолога-хирурга
900 ₽
Консультация стоматолога-имплантолога
900 ₽
Консультация детского стоматолога
2 000 ₽
Беспроцентная рассрочка на имплантацию и ортодонтическое лечение до 1 года
В нашей клинике доступны беспроцентные рассрочки и кредиты через банки-партнёры с индивидуальными условиями и быстрым оформлением, которое займет всего час. Вам не нужно будет никуда ходить, а ответы от банков придут сразу.

Кураторы нашей клиники помогут вам подобрать наиболее выгодный и комфортный вариант
*Рассрочка без процентов не распространяется на услуги по акции
Записаться на лечение
Нажимая на кнопку я даю согласие на обработку моих персональных данных в рамках ФЗ РФ от 27.06.2006 №152-ФЗ «О персональных данных»
Виды протезов с опорой на 4 импланта
Постоянный несъемный протез может быть изготовлен из металлокерамики, керамокомпозита или диоксида циркония.
Акриловые протезы
Металлокерамика
Диоксид циркония
Акриловые протезы
Оперативное и бюджетное решение, часто используемое в качестве временной конструкции.
Преимущества:
- Легкость конструкции — минимальный вес не перегружает имплантаты в период их приживления.
- Максимальная доступность — самый бюджетный вариант восстановления зубного ряда.
- Высокая ремонтопригодность — любые повреждения корректируются в лаборатории за один день.
- Скорость изготовления — протез может быть подготовлен в кратчайшие сроки сразу после операции.
Недостатки:
- Пористость материала — акрил может впитывать пищевые красители и запахи при недостаточном уходе.
- Хрупкость — уступает в прочности металлокерамике и цирконию
Металлокерамика
Надёжное классическое решение с доступной стоимостью.
Преимущества:
- Высокая прочность. Основа из хромо-кобальтового сплава устойчива к нагрузкам и деформациям
- Экономичность — дешевле циркония примерно в 1,5 раза
Недостатки:
- Возможны аллергические реакции на металл
- Менее эстетично — уступает цирконию по цвету и прозрачности
- При сколе одной коронки может потребоваться снятие всего протеза
Диоксид циркония
Обеспечивает максимальную эстетику и биосовместимость.
Преимущества:
- Высочайшая прочность и устойчивость к износу
- Натуральный внешний вид — максимально точно имитирует живой зуб
- Гипоаллергенен, полностью совместим с тканями организма
- Не меняет цвет со временем, не впитывает пигменты
Недостатки:
- Более высокая стоимость
- Требует высокой точности при установке и индивидуального подбора
Жить с улыбкой — легко, когда зубы не подводят
Жить с улыбкой — легко, когда зубы не подводят
Протезирование на 4 имплантах — это не просто восстановление зубов, а возвращение к полноценной жизни. Вы снова можете есть любимую еду, разговаривать уверенно, свободно смеяться и чувствовать себя комфортно в любой ситуации.
«Все на 4» решает проблему полного отсутствия зубов за 1–3 дня — без длительной адаптации, стеснения и сложных процедур. Новая улыбка — не мечта, а реальность, доступная уже сейчас.
«Все на 4» решает проблему полного отсутствия зубов за 1–3 дня — без длительной адаптации, стеснения и сложных процедур. Новая улыбка — не мечта, а реальность, доступная уже сейчас.
Почему пациенты выбирают «Все на 4»
Отказ от съемных протезов
Несъемный протез “Все на 4” не нужно снимать и надевать – он всегда с вами, и останется во рту при любых обстоятельствах.
Удобство каждый день
Несъемный протез “Все на 4” не давит и не натирает десну, также он намного удобнее в обслуживании. После установки постоянной конструкции необходимо только очищать зубы от налета.
Восстановление жевательной функции
Несъемный протез “Все на 4” полностью восстанавливает жевательную функцию – можно есть всё, что угодно, причем уже на следующий день
Сравнение методов протезирования
при полной адентии: что лучше?
Сравнение методов протезирования
при полной адентии: что лучше?
| «Все на 4» | «Все на 6» | |
|---|---|---|
| Степень атрофии кости | Незначительная или средняя | Сильная / Выраженная |
| Количество имплантов | 4 единицы на одну челюсть | 6 единиц на одну челюсть |
| Удаление зубов в день операции | Да (одномоментно) | Да (одномоментно) |
| Костная пластика | Обычно не требуется | Обычно не требуется (за счет обхода пазух) |
| Распределение нагрузки | На 4 точки (усиленная передняя зона) | На 6 точек (равномерно по всей дуге) |
| Длина зубного ряда в протезе | Обычно до 10–12 зубов | Полноценные 14 зубов (до 6–7 моляров) |
| Первичная стабильность | Высокая | Максимальная (за счет 2-х доп. опор) |
Современная стоматология в Перми
Адрес:
г. Пермь,
ул. Газеты звезда, 60
ул. Газеты звезда, 60
Часы работы:
Пн-Пт 8:00-21:00;
Сб-Вс 9:00-16:00
Сб-Вс 9:00-16:00

