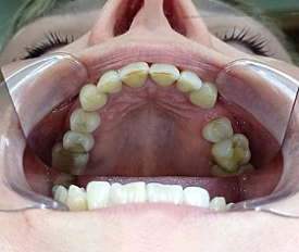
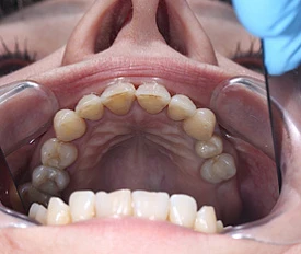
Наши работы
В этой галерее — реальные клинические случаи, с которыми обращались пациенты в нашу клинику.
Здесь вы увидите, как мы восстанавливаем зубы, исправляем прикус, устанавливаем виниры, импланты и создаём красивые улыбки — шаг за шагом, с учётом индивидуальных особенностей каждого.

Работы специалистов



Чураков А.Ю.


Чураков А.Ю.



Клинические случаи
Доказываем, что лечение зубов может быть выгодным

Доказываем, что лечение зубов может быть выгодным
Клиника «Один к Одному» в Перми — это разумный подход к лечению зубов без переплат. Мы предлагаем фиксированную стоимость лечения под ключ, без скрытых доплат и неожиданных расходов. Цена на имплантацию, протезирование или исправление прикуса обсуждается заранее и не меняется в процессе.
Благодаря комплексному подходу, современному оборудованию и слаженной работе команды врачей, мы сокращаем количество визитов и общую стоимость лечения.
Вы получаете высокий уровень сервиса, качественные материалы от мировых производителей и честную цену, которая закрепляется в договоре.

