Исправление прикуса на брекет-системе с использованием ортовинта, пружины и резинок


Пациент клиники

Кейс
Срок лечения:
3 года и 2 месяца
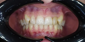
до
проблема
Периодически возникали щелчки в полости рта, возникал дискомфорт из-за неправильного положения зубов и прикуса
после
решение
Удаление зубов мудрости и последующее лечение на брекет-системе с назначением ортодонтических резинок
Лечащий врач
Медянцева Александра Алексеевна
Стоматолог - ортодонт, детский ортодонт. Ведущий специалист, заведующая ортодонтическим отделением.
9 лет практического опыта

Этапы лечения
- Проведено удаление зубов мудрости
- Установлена брекет-система на верхнюю и нижнюю челюсти
- Для коррекции прикуса назначено ношение ортодонтических резинок
- Установлены ортовинт и специальная пружина для дополнительной коррекции
- Устранены щелчки в височно-нижнечелюстном суставе
- Скорректировано положение зубов и прикус

