Сайдазимов Бехруз Шосаидович
Хирург-имплантолог
8 лет практического опыта
- Хирургическое лечение зубов и дёсен с аккуратным подходом и вниманием к восстановлению
- Атравматичное удаление зубов и лечение осложнений без лишнего стресса для пациента
Записаться на прием
*Актуальный график приема уточните у администратора

Светлана Ковлакова
02.10.2025
Наблюдаюсь в этой клинике уже 3 года и плюс все дети тоже наблюдаются в этой клинике. Да здесь чуть дороже чем в других местах, но качество того стоит. Носила брекеты, имплантация, лечения и проф чистка системная. Результат супер!!!! Очень сложно найти качественные услуги я пробов...
9 из 10
пациентов приходят по рекомендации
Сертификаты и лицензии
О враче
Сайдазимов Бехруз Шосаидович Стаж 8 лет
Опытный специалист в области хирургической стоматологии. К Бехрузу Шосаидовичу можно обратиться с абсцессом полости рта, альвеолитом, дистопией зуба, переломом зуба, периодонтитом. Доктор специализируется на удалении зубов и имплантации.
Регулярно совершенствует свои профессиональные знания и умения, посещая различные семинары и мастер-классы. Занял первое место в рейтинге хирургов на ПроДокторов в 2022 году.
Регулярно совершенствует свои профессиональные знания и умения, посещая различные семинары и мастер-классы. Занял первое место в рейтинге хирургов на ПроДокторов в 2022 году.
Специализация
- Периодонтит
- Адентия
- Аномалия зуба
- Абсцесс полости рта
- Перелом зуба
- Зуб ретенированный
Отзывы о враче

Светлана Ковлакова
02.10.2025
Наблюдаюсь в этой клинике уже 3 года и плюс все дети тоже наблюдаются в этой клинике. Да здесь чуть дороже чем в других местах, но качество того стоит. Носила брекеты, имплантация, лечения и проф чистка системная. Результат супер!!!! Очень сложно найти качественные услуги я пробов...
Образование
2017
Пермский государственный медицинский университет им. акад. Е.А. Вагнера (стоматология), базовое образование
Повышение квалификации
2020
Базовый курс по имплантации
2021
АВС-Центр (организация здравоохранения и общественное здоровье), циклы переподготовки
2021
Одномоментная имплантация и немедленная нагрузка
2022
Продвинутый курс по имплантации. Костная пластика и синуслифтинг
2022
Современная кортикальная опора
2022
Принципы работы с имплантационной системой Straumann
2022
Особенности работы на имплантатах с коническим соединением.
2022
Протоколы костной и мягкотканной аугментации
2022
Синус-лифт. командный подход лора и имплантолога
2022
Командный подход в дентальной имплантации
2022
Клиническая и лабораторная цифровая стоматология от А до Я
2023
«Концепции all-on-4»
2023
«Закрытый синус-лифтинг»
2023
«Практические навыки работы с пациентами»
2023
«Применение диодных лазеров в стоматологии»
2023
«Пластика мягких тканей вокруг имплантатов»
2023
«Имплантация при выраженном дефиците костной ткани»
2023
«Базовый курс по хирургическим шаблонам»
2024
Пародонтология для хирургов
2024
Хирургические и ортопедические протоколы тотального протезирования All on 4
2025
Digital Full Arch - Moderate atrophy. Цифровые протоколы немедленной нагрузки с умеренной степенью атрофии
Услуги врача
Консультация стоматолога-имплантолога
900 ₽

DENTIUM Implantium
Южная Корея
Проверенная надежность
Цена за 1 имплант
с установкой
с установкой
24 900 ₽
19 900 ₽
Коронки на выбор:
Металлокерамика
от 16 000 ₽
Диоксид циркония
от 25 000 ₽
Имплантация за 1 день
Возможность сразу есть
-3000 ₽ экономия

DENTIUM SuperLine
Южная Корея
ВЫГОДА И КАЧЕСТВО
Цена за 1 имплант
с установкой
с установкой
32 000 ₽
29 000 ₽
Коронки на выбор:
Металлокерамика
от 16 000 ₽
Диоксид циркония
от 25 000 ₽
Имплантация за 1 день
Возможность сразу есть
-3000 ₽ экономия
Акция до конца месяца

STRAUMANN
Швейцария
Лучшая приживаемость
Цена за 1 имплант
с установкой
с установкой
от 44 000 ₽
Коронки на выбор:
Металлокерамика
от 21 000 ₽
Диоксид циркония
от 32 500 ₽
Имплантация за 1 день
Возможность сразу есть
-3000 ₽ экономия

Пациент клиники
Лечащий врач
Сайдазимов Б.Ш.
Чураков А.Ю.
Чураков А.Ю.
до
после

Пациент клиники
Лечащий врач
Сайдазимов Б.Ш.
Чураков А.Ю.
Чураков А.Ю.
до
после

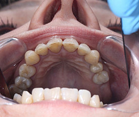
Пациент клиники
Лечащий врач
Сайдазимов Б.Ш.
до
после
Получить консультацию врача
- Получите чёткий план лечения и предварительный расчёт стоимости уже на первом приёме
- Ответим на все вопросы — от постановки диагноза до подбора имплантов, протезов или брекетов, объясним каждое решение и подскажем лучший путь лечения именно для вас
- Без навязывания и спешки: врач объяснит, какие есть варианты и что лучше в вашем случае

