Одномоментная имплантация и восстановление зубов


"Наконец-то могу нормально жевать. Сделали быстро и надежно, результатом доволен"
Пациент клиники

Кейс
Срок лечения:
5 месяцев
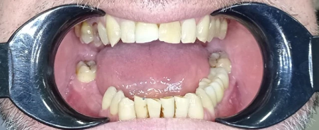
до
проблема
Отсутствие зубов на верхней и нижней челюстях. Затруднённое жевание, выраженный косметический дискомфорт.
после
решение
Удалены зубы, восстановление которых было невозможно. Выполнена одномоментная установка имплантов и установлены коронки. Проведена подготовка под дальнейшее лечение.
Лечащий врач
Насибулин Илья Евгеньевич
Хирург-имплантолог
13 лет практического опыта

Этапы лечения
- Консультация и диагностика
- Удаление зубов (невосстановимых)
- Одномоментная установка имплантов
- Временные коронки / адаптация
- Снятие слепков / сканирование
- Фиксация постоянных коронок

